Glaucoma é um grupo de doenças oculares que danificam o nervo óptico, vital para a boa visão. Este dano geralmente é causado por uma pressão anormalmente alta no olho, chamada de pressão intraocular. O glaucoma é uma das principais causas de cegueira em pessoas com mais de 60 anos, mas pode afetar pessoas de todas as idades.
Glaucoma
O que é o glaucoma?


Tipos de Glaucoma
Existem vários tipos de glaucoma, mas os mais comuns são:
Glaucoma de Ângulo Aberto: É o tipo mais comum. Ocorre quando o sistema de drenagem do olho fica menos eficiente com o tempo, resultando em aumento gradual da pressão intraocular. É um tipo silencioso, onde a perda de visão ocorre de forma lenta e geralmente sem sintomas.
Glaucoma de Ângulo Fechado: Pode se apresentar como glaucoma agudo, é menos comum e ocorre quando o ângulo de drenagem do olho é bloqueado repentinamente. Isso pode levar a um aumento súbito da pressão intraocular, causando dor intensa e perda rápida de visão. É uma emergência médica quando se apresenta dessa forma. Mas também pode ocorrer de forma silenciosa. Tende a ser mais grave que o de ângulo aberto.
Glaucoma Congênito: Presente desde o nascimento, ocorre devido a uma formação inadequada do sistema de drenagem do olho em bebês.
Glaucoma Secundário: Pode se desenvolver como resultado de outras condições oculares, como inflamação, trauma, ou uso prolongado de certos medicamentos, como corticosteroides.
Causas e Fatores de Risco
Histórico Familiar: Ter parentes próximos com glaucoma aumenta o risco.
Idade: Pessoas com mais de 60 anos têm um risco maior.
Pressão Ocular Elevada: Pressão intraocular elevada é um dos principais fatores de risco.
Miopia: Pessoas míopes têm maior risco de desenvolver glaucoma.
Ancestralidade: Afrodescendentes, hispânicos e asiáticos têm maior risco de glaucoma.
Sintomas
O glaucoma geralmente não apresenta sintomas nas fases iniciais, o que torna os exames regulares essenciais para o diagnóstico precoce. À medida que a doença progride, os sintomas podem incluir:
Perda de visão periférica: Muitas vezes o primeiro sinal.
Visão em túnel: A visão central permanece, mas a visão periférica se deteriora.
Dor ocular severa: Especialmente em casos de glaucoma de ângulo fechado com fechamento angular agudo.
Náusea e vômito: Acompanham a dor ocular em glaucoma agudo.
Visão embaçada: Pode ocorrer, principalmente em condições agudas.
Diagnóstico
O glaucoma pode ser diagnosticado por meio de exames oftalmológicos que avaliam a pressão intraocular, o estado do nervo óptico e o campo visual. Entre os exames realizados, destacam-se:
Tonômetria: Medição da pressão intraocular.
Fundo de olho: Exame do nervo óptico.
Gonioscopia: Faz a diferenciação do glaucoma de angulo aberto e fechado.
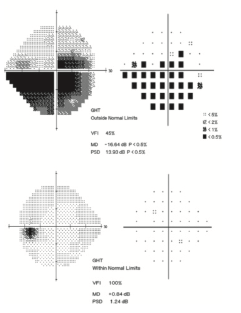
Campimetria Visual: Avaliação do campo visual.
Tomografia de Coerência Óptica (OCT): Para examinar o nervo óptico em detalhes.
Tratamento
O tratamento do glaucoma visa reduzir a pressão intraocular e prevenir mais danos ao nervo óptico. As opções incluem:
Colírios: Medicamentos tópicos para diminuir a pressão ocular.
Medicamentos orais: Em alguns casos, medicamentos sistêmicos são necessários.
Cirurgia a Laser: Procedimentos como a trabeculoplastia a laser ajudam a melhorar a drenagem do fluido ocular.
Cirurgia Filtrante: Procedimentos como a trabeculectomia criam uma nova via para o fluido ocular sair do olho, reduzindo a pressão.




Campo Visual
Tomografia de Coerência Óptica (OCT)
Prevenção e Controle
Embora não haja como prevenir o glaucoma, o diagnóstico precoce e o tratamento adequado podem retardar ou prevenir a perda de visão. É essencial fazer exames oftalmológicos regulares, especialmente se você tiver fatores de risco.
Visão
Cuidado personalizado para sua saúde ocular.
Clínica
Exames
+55 27 98111-6752
© 2024. All rights reserved.
+55 27 3336-5925
