O que é o buraco de mácula?
Buraco macular ou buraco de mácula é uma doença que atinge o centro da retina, onde se localiza a mácula, formando um buraco gradativo que compromete o centro da visão. A doença é mais comum após os 60 anos de idade.
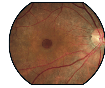
A mácula é uma região importante no processo de visão. É constituída por células fotorreceptoras, que proporcionam a visão clara e nítida, além da visão de detalhes e cores. Quando não tratada há perda do campo visual central.
Pouco se sabe sobre o surgimento da doença. Ela aparece de maneira distinta como traumas oculares, envelhecimento dos olhos, processos inflamatórios, mas a principal causa do aparecimento do buraco macular são as forças tracionais exercidas pelo vítreo, o gel do olho.
Buraco Macular


Sintomas
O sintoma principal é a redução central da visão, porém o que ocorre geralmente é do portador do problema não percebe logo de início da doença quando atinge apenas um olho, pois o olho saudável compensa a dificuldade de enxergar do outro. Os demais sintomas são dificuldade para leitura ou não enxergar o próprio rosto e das pessoas ou dificuldade ver televisão, embaçamento visual central ou visão com tortuosidade.
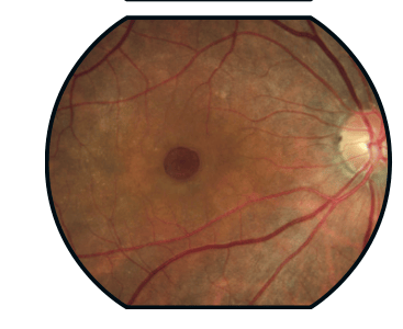
Diagnóstico
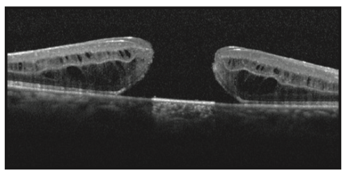
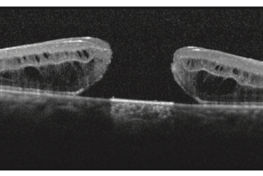
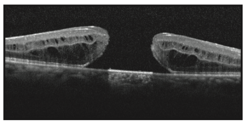
O diagnóstico para detecção do buraco de mácula é feito através de exames que ampliam essa região permitindo observar o grau de comprometimento são eles: mapeamento de retina, retinografia, angiografia de retina e tomografia de coerência óptica (OCT).
O exame mais importante nessa situação será o de OCT, que ira nos mostrar o tamanho do buraco e outros sinais de bom ou mal prognóstico de fechamento do buraco macular.


A vitrectomia posterior é o tratamento que consiste em aliviar a pressão tracional do vítreo através da aplicação de um gás (ar ou óleo) dentro do olho e dessa forma permitir a cicatrização do buraco macular. O gás é absorvido pelo organismo e em seu lugar é formado um líquido. O paciente terá a visão diminuida até a reabsorção da bolha de gás que acontece geralmente em periodo inferior a 1 mês.
Tratamento
Como é o pós-operatório do tratamento do buraco macular?
O pós-operatório de uma cirurgia para tratar buraco macular geralmente envolve algumas restrições e cuidados importantes. Após a cirurgia, o paciente pode precisar manter a cabeça em uma posição específica (geralmente voltada para baixo) por vários dias ou até semanas, para ajudar a bolha de gás ou ar inserida no olho a manter a retina no lugar enquanto cicatriza. A visão pode estar embaçada no início, mas melhora gradualmente à medida que o olho se recupera. É essencial seguir as orientações do oftalmologista, evitar atividades intensas e usar os medicamentos prescritos para prevenir infecções e inflamações.
Existe prevenção do buraco macular?
Não há uma prevenção direta para o buraco macular, mas existem medidas que podem reduzir o risco de desenvolver essa condição. Manter um estilo de vida saudável, controlar doenças crônicas como diabetes e hipertensão, e proteger os olhos de lesões são algumas das maneiras de cuidar da saúde ocular. Além disso, realizar exames oftalmológicos regulares pode ajudar na detecção precoce de problemas na retina, permitindo um tratamento adequado antes que um buraco macular se desenvolva.
Visão
Cuidado personalizado para sua saúde ocular.
Clínica
Exames
+55 27 98111-6752
© 2024. All rights reserved.
+55 27 3336-5925
