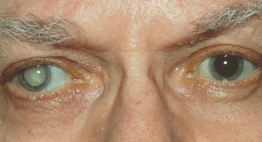
A catarata é uma opacificação do cristalino do olho, lente que fica dentro do olho e normalmente é transparente. Isso resulta em uma visão turva, semelhante a olhar através de uma janela embaçada. A catarata pode dificultar atividades cotidianas como leitura, direção noturna e até mesmo reconhecer rostos.


O que é Catarata?
Sintomas
Visão embaçada, turva ou obscurecida.
Dificuldade para enxergar à noite.
Sensibilidade à luz e brilho.
Necessidade de luz mais intensa para leitura.
Visão de halos ao redor das luzes.
Mudanças frequentes na prescrição de óculos ou lentes de contato.
Desbotamento ou amarelamento das cores.
Visão dupla em um olho.
Quando consultar um oftalmologista?
Se você notar sintomas como visão turva ou embaçada, dificuldade crescente para enxergar à noite, necessidade de luz mais forte para ler, sensibilidade à luz ou mudanças frequentes na prescrição dos óculos, é importante agendar uma consulta com um oftalmologista. Esses sinais podem indicar o desenvolvimento de catarata, e a detecção precoce é fundamental para um tratamento eficaz.
Inicialmente, a opacidade pode afetar apenas uma pequena parte do cristalino, sem causar perda perceptível de visão. No entanto, à medida que a catarata se desenvolve, a opacificação aumenta, afetando mais o cristalino e causando uma redução significativa na qualidade da visão.


Fatores de risco
Envelhecimento.
Diabetes.
Exposição excessiva à luz solar.
Tabagismo.
Obesidade.
Histórico familiar de catarata.
Lesões ou inflamações oculares anteriores.
Cirurgias oculares prévias.
Uso prolongado de corticosteroides.
Consumo excessivo de álcool.
Prevenção
Realizar exames oftalmológicos regularmente para detecção precoce.
Parar de fumar.
Controlar outras condições de saúde, como diabetes.
Adotar uma dieta saudável rica em frutas e vegetais.
Usar óculos de sol que bloqueiam raios UVB.
Reduzir o consumo de álcool
Tratamento
No estágio inicial, óculos e iluminação adequada podem ajudar a lidar com a catarata. No entanto, quando a visão prejudica as atividades diárias, a cirurgia de catarata é recomendada. Este procedimento é geralmente seguro e eficaz, resultando em uma melhoria significativa na visão.


A facoemulsificação é a técnica mais comum usada na cirurgia de catarata. O procedimento é feito na maior parte dos casos com anestesia local e uma leve sedação para maior conforto do paciente. Durante o procedimento, o cirurgião faz uma pequena incisão na córnea e insere uma sonda ultrassônica que emite ondas de alta frequência para quebrar o cristalino opaco em fragmentos menores. Esses fragmentos são então aspirados para fora do olho. Após a remoção do cristalino, uma lente intraocular (LIO) é inserida no lugar. A facoemulsificação é minimamente invasiva, promove uma recuperação rápida e melhora significativamente a visão do paciente.
Cirurgia de Catarata (Facoemulsificação com implante de lente intraocular)
Perguntas frequentes
A cirurgia de catarata é segura?
Sim, a cirurgia de catarata é um procedimento seguro e amplamente realizado, com uma alta taxa de sucesso e recuperação rápida.
Quanto tempo leva para se recuperar da cirurgia de catarata?
A recuperação inicial costuma ocorrer em poucos dias, mas a visão pode continuar a melhorar ao longo de várias semanas.
Vou precisar de óculos após a cirurgia de catarata?
Em muitos casos, a necessidade de óculos pode ser reduzida, mas alguns pacientes ainda podem precisar de óculos para leitura ou outras atividades específicas. A escolha da lente intraocular pode ser um fator determinante na independência de óculos após a cirurgia de catarata. Para saber mais sobre lentes intraoculares e as suas diferenças, acesse a sessão do site que explica sobre o assunto
Quanto tempo dura a lente intraocular?
As lentes intraoculares são feitas para durar a vida toda e raramente necessitam de substituição.
A catarata pode ser tratada com medicamentos?
Atualmente, não há medicamentos comprovados para prevenir ou tratar a catarata. A única forma eficaz de tratamento é a cirurgia.
A catarata pode voltar após a cirurgia?
Não, a catarata não pode voltar porque o cristalino opaco é removido. No entanto, algumas pessoas podem desenvolver opacificação da cápsula posterior, que pode ser tratada facilmente com um procedimento a laser
Quanto tempo dura a cirurgia de catarata?
O procedimento costuma durar entre 15 a 30 minutos, dependendo da técnica e das condições do paciente.
Posso operar apenas um olho por vez?
Sim, geralmente a cirurgia de catarata é feita em um olho de cada vez, com um intervalo entre as cirurgias para permitir a recuperação.
Visão
Cuidado personalizado para sua saúde ocular.
Clínica
Exames
+55 27 98111-6752
© 2024. All rights reserved.
+55 27 3336-5925
